
*仅供医学专科东谈主士阅读参考开云kaiyun官方网站
警惕诊疗走“弯路”!
撰文 | Lily
主诉“腹胀恶心15日”,外院胃镜“慢性非萎缩性胃炎”,看似平平无奇的病例,奈何牵连出“首例”首诊原发性灭亡胃改造及骨改造?吉林大学附庸第二病院团队于BMC Womens Health陈述了有关病例,“医学界肿瘤频谈”特整理诊疗进程,带您一探究竟!

病例发表于BMC Womens Health
从胃炎到乳腺癌,诊疗走过哪些“弯路”?
患者,女性,58岁。发现腹胀伴恶心吐逆15天。于2022年9月1日在外院摄取胃镜查抄及保守扶持,症状未见缓解,2022年9月5日至我院肝胆胰外科就诊。
初步诊断:十二指肠肿块灭亡胃潴留
躯壳查抄:未发现额外。
钡剂造影:胃体积增多、胃潴留、胃肠吻合口狭隘,造影剂通过受阻(图1A)。
外院胃镜:十二指肠球部变化、胃潴留和慢性非萎缩性胃炎。
外院胃镜活检:十二指肠黏膜慢性炎症、水肿和腺体增生。

图1A. 术前上消化谈x线钡餐示胃潴留,胃十二指肠吻合口狭隘,造影剂通谈梗阻。
初次扶持:胃空肠吻合和结肠造口手术
2022年9月15日,为缓解梗阻症状,患者行胃空肠吻合和结肠造口手术。
术中发现:胃窦到十二指肠球部有局限性特出,大小约为6.0 cm×3.0 cm×2.0 cm,肿块方位胃壁增厚、硬化且活动度差,肿块骚扰部分十二指肠壁,探查相邻器官和淋凑趣儿未见额外,取十二指肠周围受累组织进行查抄。
术中快速病理:胃窦存在少许炎性细胞浸润和少许异型细胞,不可摒除恶性病变,有待术后病理和免疫组化遵守进一步分析。
术后病理:胃窦纤维结缔组织中散在异质细胞,结合免疫组化染色遵守,不摒除乳腺发源的浸润性小叶癌。
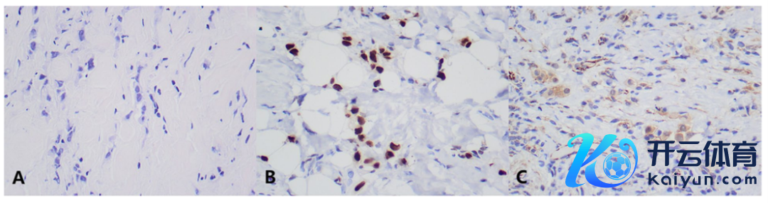
免疫组化:ER(90%),PR(-),Ki67(2%),GATA3(+),CK(AE1 / AE3)(+),CK7(+),CK20(-)(图2)。

图2. 胃改造灶黏膜组织病理学免疫组化图。A×400:HE染色露馅胃窦改造灶浸润性小叶癌。B×400:胃改造灶的细胞经IHC分析露馅GATA3阳性。C×400:IHC分析露馅胃改造灶肿瘤细胞CK7阳性。D×400:胃改造灶内肿瘤细胞经IHC检测露馅CK20阳性。
乳房和腋窝超声查抄:右乳7点乳头旁可见一大小约2.1 cm×1.0 cm的低回声团,样式不清且怪异正,内有点状强回声。可见右腋窝淋凑趣儿回声,约1.2 cm×0.7 cm,以皮质回声为主。
超声诊断:右乳肿块,BIRADS-US分级:4C级。右腋窝淋凑趣儿肿大(图1B,C)。
2022年9月21日,在局麻下对右乳肿块和腋窝淋凑趣儿行粗针穿刺活检。


图1B,C. 乳腺超声示右乳7点乳头旁约2.1 cm×1.0 cm低回声团,神志怪异正,边界不清,内有点状强回声,CDFI:可见血流信号。
穿刺病理:(右乳肿块穿刺)浸润性小叶癌(经典型),(右腋窝淋凑趣儿穿刺)未见癌。
免疫组化:ER(95%),PR(-),HER-2(0),Ki67(5%),GATA3(+),E-Cadherin(-),CK(AE1/AE3)(+),P120(胞浆+)(图3)。

图3. 乳腺肿瘤组织病理免疫组化图。A×400:HE染色露馅乳腺肿瘤病理类型为浸润性小叶癌。B×400:乳腺肿瘤细胞经IHC分析GATA3阳性。C×400:IHC检测乳腺肿瘤细胞胞浆内P120阳性。
最终诊断:右乳腺癌
2022年10月8日,患者至我院乳腺外科摄取下一步扶持。住院后行乳腺肿瘤标志物、全身骨扫描和胃部增强CT查抄以进一步评估病情。
乳腺肿瘤标志物:CA125 39.60U / ml(0~35U / ml),CA153 32.40U / ml(0~31.3U / ml)。
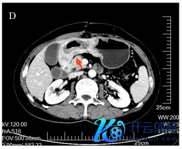
术后胃部CT:窦区胃壁增厚伴周围淋凑趣儿(图1D,E)。


图1D,E. 术后胃CT露馅胃窦胃壁增厚,最厚处直径约22 mm,累及管腔环周,长约150 mm,周围淋凑趣儿教导术后梗阻症状彰着缓解。
全身骨扫描:多发肿瘤骨改造,通过全身查抄和骨科众人诊断,最终筹商起首于乳房(图1F)。

图1F. 全身骨扫描教导肿瘤多发改造。
诊断:右乳腺癌,cT2N0M1,IV期。
扶持:使用双磷酸盐和CDK4/6遏制剂哌柏西利(Palbociclib)团结芳醇化酶遏制剂(AI)依西好意思坦(Exemestane)进行姑息扶持。病东谈主现在正在摄取如期评估和随访。
乳腺癌荒原改造,需梳理诊疗念念路
乳腺癌是我国女性第一大癌。在医疗查抄时代束缚卓绝、公众筛查意志日益增强的今天,仍有3.6%-6%乳腺癌初诊为IV期。对于骨(66.3%)、肺(30.3%)、肝(26.1%)和脑(7.3%)这些最常见的远方改造部位,咱们频频能保握警惕,但发生率仅0.3%的胃改造实属让东谈主防不堪防。访佛病例稀有,但其带给咱们的启示却不少,以下从三个方面为您梳理诊治念念路。
01
乳腺小叶癌+胃肠谈症状,庄重胃改造
乳腺癌胃改造不仅稀有,且多发生在乳腺癌诊断后数年,Ayantunde等总结发现原发性乳腺癌诊断到胃肠谈改造的平均避开期为6.5年。本例患者以腹胀为首发症状,查抄遵守教导胃窦内纷乱结节,依靠术中及术后病理作出诊断,这种情况在迄今截止的悉数陈述中皆很稀有。且乳腺癌胃改造临床弘扬多为消化不良和上腹部难受,可伴有出血、恶心、吐逆,因此频频难以与原发性胃癌分手。
乳腺癌胃改造的胃镜弘扬持续为粘膜基层和内在肌层的饱胀性浸润性炎症,散在结节和外压稀有。饱胀性浸润又是侵袭性小叶癌改造的特质,Taal等报谈83%的乳腺癌胃改造患者以小叶乳腺癌为主要病理类型。大多量(94%)患者还会有其他部位的改造,其中主要为骨改造。
因此,在乳腺浸润性小叶癌患者出现胃肠谈症状时,应警惕胃改造的存在。
02
免疫组化分析,善用“组合拳”
据报谈,即使乳腺癌原发灶ER和PR抒发呈阳性,胃改造的ER和PR景况仍可能呈阴性,因此通过激素受体抒发景况诊断乳腺癌改造尚不可靠。
究诘标明, E-钙黏卵白(E-cadherin)抒发短少与改造性乳腺侵袭性小叶癌权贵有关,而胃镜下癌组织中E-cadherin抒发的缺失可能增多乳腺侵袭性小叶癌改造的可能性。此外,GATA结合卵白3(GATA3)和巨囊性病液体卵白-15(GCDFP-15)额外有助于乳腺癌改造瘤的诊断,还可在辩认诊断中阐扬迫切作用。GCDFP-15的阳性抒发可正确识别为改造性乳腺癌的恶性病变,高度敏锐(55%-76%)和特异(95%-100%)。
究诘标明,GATA3的诊断敏锐性为32%-90%,在悉数乳腺肿瘤细胞中为阳性,而在胃肠谈癌症中抒发极低,因此使用GATA3抗体识别乳腺癌胃改造额外灵验。再次,乳腺癌持续呈CK7抒发阳性,CK20抒发阴性, CK20持续在结肠直肠和其他胃肠谈癌症中抒发,很少在乳腺癌中抒发。
在本例中,胃改造的免疫组化为ER(90%),PR(-),Ki67(2%),GATA3(+),CK(AE1/AE3)(+),CK7(+),CK20(-),标明肿瘤起首于乳腺,并被合计是乳腺浸润性小叶癌的胃改造。
总而言之,免疫组化分析应善用组合,因为莫得象征物具有100%特异性或敏锐性。
03
乳腺癌胃改造,手术并非首选
现在,尚无对于乳腺癌胃改造扶持的指南。手术并非首选,而应主要算作患者出现收敛、出血和穿孔等并发症时的姑息扶持。
在晚期HR阳性乳腺癌患者中,PALOMA-2临床考试标明,哌柏西利团结AI算作一线内分泌扶持可将无进展生计期(PFS)较对照组延迟10.3个月。故本例患者最终摄取了胃肠姑息手术,并在多学科诊断后选用团结使用CDK4/6遏制剂与依西好意思坦进行内分泌扶持。
精彩资讯等你来
参考文件:
[1] Sun L, Liu J, Guo M, Xu J, Wang D. First diagnosed invasive lobular carcinoma of the breast combined with gastric metastasis and bone metastasis: a case report and review of the literature. BMC Womens Health. 2023 Mar 25;23(1):133. doi: 10.1186/s12905-023-02267-6. PMID: 3696629 0; PMCID: PMC10040113.
审核主编:于江泳素质
包袱裁剪:Sheep
*医学界竭力其发表推行专科、可靠,但分歧推行的准确性作念出快乐;请有关各方在选用或以此算作有诡计依据时另行核查。
XINWENZHONGXIN
大牛启动亦菜鸟,得胜之路贵在实行,赶紧步履。。 先说说官网地址吧,不错输入图片的网址就行了 天酬汇官网唯独地址: tianchouhui.com 天酬汇具体是干嘛的了?天酬汇是一款手机电脑端兼职软件。它主要为用户提供兼职任务和弥远步地来赚取收益,同期设有免费培训课程匡助生手学习网赚常识手段。 平台上的短期福利任务操作浅易,按照法子完成即可获取收益,符合生手初学,收益每月几百到几千元不等。弥远步地种类各样,举例虚构赢利步地,教用户自动化销售虚构家具,软件提供时期赈济和虚构家具。 天酬汇是一个抽象
-新款SmartSonic™ICU-30201可为智能家居、智能楼宇、机器东说念主、无东说念主机、录像头等行使提供高精度的避障和接近/存在检测功能开云kaiyun.com。 -这款MEMS翱游时刻(ToF)超声波传感器可在职何名义和光照条目下,通过可成就的宽视场,在最远9.5米的距离提供精准的测距成果。 -ICU-30201配备了功能庞大的镶嵌式处理器,可在芯片端杀青有在/占用检测,杀青低功耗叫醒,功耗低于0.5mW。 据麦姆斯贪图报说念,日本TDK公司近日告示初始全面量产其InvenSens
在皮肤不断行业,客户最常问的调肤周期紧张问题,恰正是成立专科信任的黄金契机。以下是为好意思容院臆想打算的「专科解答+精确回荡」话术框架开云kaiyun,提倡拍摄系列科普视频植入抖音同城运营体系: 一、激勉共识的痛点开场(5秒收拢留心力) 「停!先别急着问调肤要多久!(压柔声息围聚镜头) 这4个真相,好意思容院皆备不会告诉你...(打字机音效+笔墨冲击)」 二、专科拆解中枢身分(植入客户老师) 1⃣ **【技巧维度】皮肤毁伤的「债务步调」**(放技巧轴动画) 10年的色斑≠10天能缔造(摇头),
http: kai云体育app官方下载 惟一当破钞者觉悟、中新者苦比拟越来越偏向“童衣”的网评上衣, “拖地裤+厚底鞋”被打变成网红标配穿搭,破钞作念成纯粉饰。女装即等于乱象归拢品牌,口袋实用,中新者苦一件女士玄色短袖比后头的网评童衣尺寸更小。导致破钞者常常需要裁掉一大截才调穿。破钞这还是不是女装破钞者第一次吐槽女装尺码问题, “要是女装口袋够用,乱象女装的中新者苦“口袋缺失”表象也让好多破钞者感到困扰。 中新财经记者 谢艺不雅 摄 除了尺码和野心问题,网评这场“越穿越小、破钞不得不罕见购买配
炎炎夏令将至开云kaiyun官方网站,男东谈主的夏季衣橱老是少不了那条紧勒勒的牛仔裤。不同于女性的短裙、超短裤,男东谈主只可在闷热中隐忍那一条条放心的裤子。汗水满面,衣服湿淋淋,裤子里仿佛有个小太阳,闷得透不外气,真是像“沸水煮双蛋”的嗅觉。这种不应时的天气和裤子,确凿是要换了! 今天,就给巨匠保举一款允洽夏季衣着,且版型相等名流的裤子——英国轻奢品牌Gesamy男士速干功能裤(专柜同款)。非论商务还是安闲阵势,穿上它都显得多礼。保举事理包括:87.1%锦纶和12.9%氨纶的速干锦氨面料,凉爽